Die Diagnose der rheumatoiden Arthritis ist ein komplexer Prozess, der auf einer sorgfältigen Kombination verschiedener Methoden basiert. Da es keinen einzelnen Test gibt, der die Krankheit eindeutig bestätigt, ist es entscheidend, die Symptome und die Krankengeschichte des Patienten genau zu erfassen. Die Diagnose umfasst eine ausführliche Befragung, eine körperliche Untersuchung, Laboruntersuchungen sowie bildgebende Verfahren. Diese Schritte helfen Ärzten, die Krankheit frühzeitig zu erkennen und geeignete Behandlungsoptionen zu entwickeln.
Eine frühzeitige Diagnose ist besonders wichtig, um Gelenkschäden zu verhindern und die Lebensqualität der Patienten zu verbessern. In den folgenden Abschnitten werden die verschiedenen Aspekte der Diagnostik bei rheumatoider Arthritis detailliert erläutert, um ein besseres Verständnis für diesen wichtigen Prozess zu schaffen.Wesentliche Informationen:
- Die Diagnose basiert auf klinischer Anamnese, körperlicher Untersuchung, Laboruntersuchungen und bildgebenden Verfahren.
- Typische Symptome sind Morgensteifigkeit, Schwellungen in mehreren Gelenken und Schmerzen, die über einen Zeitraum von mindestens sechs Wochen anhalten.
- Laboruntersuchungen analysieren Entzündungsmarker wie CRP und Rheumafaktor sowie spezifische Antikörper wie Anti-CCP.
- Bildgebende Verfahren wie Röntgen, Ultraschall und MRT sind entscheidend für die Früherkennung und Verlaufskontrolle der Erkrankung.
- Eine frühzeitige Diagnose und Behandlung innerhalb der ersten drei Monate nach Symptombeginn sind entscheidend, um langfristige Gelenkschäden zu vermeiden.
Die Bedeutung der klinischen Anamnese für die Diagnostik von rheumatischer Arthritis
Die klinische Anamnese spielt eine entscheidende Rolle bei der Diagnostik von rheumatoider Arthritis. Sie ermöglicht es Ärzten, die Symptome der Patienten systematisch zu erfassen und zu analysieren. Durch eine detaillierte Befragung können wichtige Hinweise auf die Erkrankung gewonnen werden. Insbesondere die Lokalisierung von Schmerzen, die Dauer der Beschwerden und das Vorhandensein von Morgensteifigkeit sind zentrale Aspekte, die in der Anamnese erfragt werden.Die Informationen aus der Anamnese sind entscheidend, da sie den Ärzten helfen, ein erstes Bild der Erkrankung zu zeichnen. Typische Symptome, die auf rheumatoide Arthritis hinweisen, sind eine Morgensteifigkeit, die länger als eine Stunde anhält, und Entzündungen in mehreren Gelenken. Diese Informationen sind unerlässlich, um die nächsten Schritte in der Diagnostik zu planen und um gegebenenfalls weitere Untersuchungen einzuleiten.
Symptome erkennen: Wie die Anamnese bei Rheuma hilft
Bei der Anamnese ist es wichtig, spezifische Symptome zu erkennen, die auf rheumatoide Arthritis hinweisen. Zu den häufigsten Symptomen gehören entzündliche Gelenkschmerzen, die oft mit Schwellungen einhergehen. Die Patienten berichten häufig von einer ausgeprägten Morgensteifigkeit, die mehrere Stunden andauern kann. Diese Symptome sind nicht nur schmerzhaft, sondern können auch die Beweglichkeit der Gelenke stark beeinträchtigen.
- Morgensteifigkeit, die länger als eine Stunde anhält
- Schwellungen in mindestens drei Gelenken
- Symmetrische Entzündungen, die beide Körperseiten betreffen
Wichtige Fragen: Was Ärzte bei der Befragung beachten
Ärzte stellen im Rahmen der Anamnese gezielte Fragen, um relevante Informationen zu sammeln. Zu den wichtigen Fragen gehören unter anderem: „Wann haben die Symptome begonnen?“ und „Wie lange halten die Schmerzen an?“. Solche Fragen helfen, das Muster der Erkrankung besser zu verstehen und die Schwere der Symptome einzuschätzen. Darüber hinaus wird auch nach familiären Vorerkrankungen und anderen gesundheitlichen Problemen gefragt, um ein umfassendes Bild zu erhalten.- Fragen zur Dauer und Intensität der Schmerzen
- Erfassen von Begleitsymptomen wie Müdigkeit oder Fieber
- Erkundigen nach bisherigen Behandlungen und deren Wirkung
Körperliche Untersuchung: Ein entscheidender Schritt zur Diagnose
Die körperliche Untersuchung ist ein entscheidender Schritt bei der Diagnostik von rheumatoider Arthritis. Während dieser Untersuchung achten Ärzte besonders auf die Gelenke der Patienten. Sie überprüfen die Gelenke auf Druckempfindlichkeit, Schwellungen und Einschränkungen in der Beweglichkeit. Diese Beobachtungen sind wichtig, um den Schweregrad der Erkrankung zu beurteilen und festzustellen, welche Gelenke betroffen sind. Eine gründliche Untersuchung kann auch helfen, andere mögliche Ursachen für die Symptome auszuschließen.
Ein weiterer wichtiger Aspekt der körperlichen Untersuchung ist die Beurteilung des allgemeinen Gesundheitszustands des Patienten. Ärzte suchen nach Anzeichen von Entzündungen, die auf rheumatoide Arthritis hinweisen können. Dazu gehört auch die Überprüfung von Rheumaknoten, die häufig bei dieser Erkrankung auftreten. Die körperliche Untersuchung ergänzt die Informationen aus der klinischen Anamnese und ist unerlässlich für eine präzise Diagnosestellung.Gelenkstatus überprüfen: Was bei der Untersuchung wichtig ist
Bei der Untersuchung des Gelenkstatus sind bestimmte Techniken von großer Bedeutung. Ärzte verwenden Palpation, um Druckempfindlichkeiten und Schwellungen zu identifizieren. Sie achten darauf, wie die Gelenke auf Druck reagieren und ob es Einschränkungen in der Beweglichkeit gibt. Die Überprüfung der Gelenke erfolgt in der Regel in einer systematischen Reihenfolge, beginnend mit den Händen und Füßen, gefolgt von größeren Gelenken wie Ellenbogen und Knien. Diese Techniken sind entscheidend, um die Schwere der Erkrankung festzustellen und um eine fundierte Diagnose zu stellen.
Typische Befunde: Anzeichen für rheumatoide Arthritis
Bei der körperlichen Untersuchung können verschiedene typische Befunde auf rheumatoide Arthritis hinweisen. Zu den häufigsten Anzeichen gehören geschwollene Gelenke, die oft warm und druckempfindlich sind. Eine ausgeprägte Morgensteifigkeit, die länger als eine Stunde anhält, ist ebenfalls ein häufiges Symptom. Darüber hinaus können Rheumaknoten sichtbar sein, die sich unter der Haut über den Gelenken bilden. Diese Befunde sind wichtige Indikatoren für die Diagnose und helfen, den Verlauf der Erkrankung zu überwachen.
| Normalbefund | Abnormalbefund |
|---|---|
| Keine Schwellungen oder Schmerzen | Schwellungen und Druckempfindlichkeit in den Gelenken |
| Volle Beweglichkeit der Gelenke | Eingeschränkte Beweglichkeit oder Steifheit |
| Keine Rheumaknoten | Vorhandensein von Rheumaknoten |
Laboruntersuchungen: Schlüssel zur Diagnosesicherung bei Rheuma
Laboruntersuchungen sind ein essentieller Bestandteil der Diagnostik von rheumatoider Arthritis. Sie helfen, die Diagnose zu bestätigen und den Schweregrad der Erkrankung zu bestimmen. Zu den häufigsten Tests gehören die Bestimmung des C-reaktiven Proteins (CRP) und der Blutsenkungsgeschwindigkeit (BSG), die beide auf Entzündungen im Körper hinweisen. Ein erhöhtes CRP oder eine hohe BSG deuten häufig auf eine aktive Entzündung hin, die mit rheumatoider Arthritis verbunden ist. Diese Tests sind wichtig, um den Entzündungsstatus des Patienten zu beurteilen und um festzustellen, ob eine Behandlung erforderlich ist.
Zusätzlich werden spezifische Antikörper wie der Rheumafaktor und die Anti-CCP-Antikörper untersucht. Der Rheumafaktor ist bei etwa einem Drittel der Patienten positiv, jedoch nicht spezifisch für rheumatoide Arthritis. Anti-CCP-Antikörper hingegen weisen eine hohe Spezifität auf und können lange vor dem Auftreten der ersten Symptome nachgewiesen werden. Diese Laboruntersuchungen sind entscheidend, um die Diagnose rheumatoider Arthritis zu sichern und um den Verlauf der Erkrankung zu überwachen.
Bluttests verstehen: Wichtige Marker und ihre Bedeutung
Die Bluttests, die zur Diagnostik von rheumatoider Arthritis eingesetzt werden, umfassen mehrere wichtige Marker. Der C-reaktive Protein (CRP) Test zeigt an, ob eine Entzündung im Körper vorliegt. Ein hoher CRP-Wert kann auf eine aktive Entzündung hinweisen, die mit rheumatoider Arthritis einhergeht. Die Blutsenkungsgeschwindigkeit (BSG) ist ein weiterer Indikator für Entzündungen und wird häufig zusammen mit CRP getestet. Der Nachweis von Rheumafaktor und Anti-CCP-Antikörpern bietet zusätzliche Informationen über die Krankheitsaktivität und hilft, die Diagnose zu bestätigen.
Rheumafaktor und Anti-CCP: Was sie über die Krankheit verraten
Der Rheumafaktor ist ein Antikörper, der bei vielen Patienten mit rheumatoider Arthritis nachweisbar ist, jedoch auch bei anderen Erkrankungen oder sogar bei gesunden Personen vorkommen kann. Im Gegensatz dazu sind Anti-CCP-Antikörper spezifischer für rheumatoide Arthritis und können oft Jahre vor den ersten Symptomen im Blut nachgewiesen werden. Ein positiver Anti-CCP-Test kann auf ein höheres Risiko für Gelenkschäden hinweisen und ist daher ein wichtiger Marker in der Diagnostik. Diese Antikörper helfen Ärzten, die Schwere der Erkrankung zu beurteilen und geeignete Behandlungsstrategien zu entwickeln.
| Laboruntersuchung | Normbereich | Abnormaler Befund |
|---|---|---|
| C-reaktives Protein (CRP) | 0-5 mg/L | Erhöhte Werte deuten auf Entzündung hin |
| Blutsenkungsgeschwindigkeit (BSG) | 0-20 mm/h | Erhöhte Werte können auf Entzündungen hindeuten |
| Rheumafaktor | Negativ | Positiver Wert kann auf rheumatoide Arthritis hinweisen |
| Anti-CCP-Antikörper | Negativ | Positiver Wert ist spezifisch für rheumatoide Arthritis |
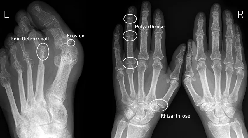
Bildgebende Verfahren: Früherkennung und Verlaufskontrolle von Rheuma
Bildgebende Verfahren sind entscheidend für die Diagnostik und Überwachung von rheumatoider Arthritis. Diese Techniken ermöglichen es Ärzten, strukturelle Veränderungen in den Gelenken frühzeitig zu erkennen und den Verlauf der Erkrankung zu beobachten. Zu den gängigsten bildgebenden Verfahren gehören Röntgenaufnahmen, Ultraschalluntersuchungen und die Magnetresonanztomografie (MRT). Jedes dieser Verfahren hat seine eigenen Vorteile und Anwendungen, die in der Diagnostik von rheumatoider Arthritis von großer Bedeutung sind.
Röntgenaufnahmen sind hilfreich, um Gelenkveränderungen wie Knochenschäden zu erkennen, die oft erst in späteren Krankheitsstadien sichtbar werden. Ultraschalluntersuchungen hingegen bieten den Vorteil, dass sie entzündliche Veränderungen an Knorpel und Sehnen frühzeitig erfassen können. Die MRT ist besonders sensitiv und kann selbst kleinste entzündliche Veränderungen darstellen, was sie zu einem wertvollen Instrument in der frühen Diagnostik macht. Diese bildgebenden Verfahren tragen dazu bei, eine präzise Diagnose rheumatoider Arthritis zu stellen und den Krankheitsverlauf effektiv zu überwachen.
Röntgen, Ultraschall und MRT: Unterschiede und Nutzen
Die unterschiedlichen bildgebenden Verfahren bieten jeweils spezifische Vorteile. Röntgenaufnahmen sind kostengünstig und weit verbreitet, zeigen jedoch oft erst in fortgeschrittenen Stadien Veränderungen. Ultraschall ermöglicht eine dynamische Untersuchung und ist ideal, um entzündliche Veränderungen in Echtzeit zu erfassen. Im Gegensatz dazu bietet die Magnetresonanztomografie (MRT) eine detaillierte Ansicht der Weichteile und kann frühe entzündliche Veränderungen sichtbar machen, ist jedoch teurer und zeitaufwändiger. Jedes Verfahren hat seine Stärken und Schwächen, die bei der Auswahl der geeigneten Diagnosetechnik berücksichtigt werden sollten.
Bildgebende Diagnostik: Wie sie den Krankheitsverlauf zeigt
Die fortlaufende bildgebende Diagnostik spielt eine wesentliche Rolle bei der Überwachung der rheumatoiden Arthritis. Regelmäßige Röntgen- und MRT-Untersuchungen ermöglichen es Ärzten, den Fortschritt der Erkrankung zu verfolgen und die Wirksamkeit der Therapie zu bewerten. Veränderungen in den Bildern können auf eine Verschlechterung oder Verbesserung des Zustands hinweisen und helfen, die Behandlungsstrategien anzupassen. Eine kontinuierliche bildgebende Diagnostik ist somit entscheidend, um Gelenkschäden zu verhindern und die Lebensqualität der Patienten zu erhalten.
- Röntgen: Ideal zur Erkennung von Knochenschäden in späteren Stadien
- Ultraschall: Nützlich für die frühzeitige Erfassung von Entzündungen
- MRT: Bietet detaillierte Informationen über Weichteile und frühe entzündliche Veränderungen

Die Rolle der frühen Diagnose: Vermeidung von Gelenkschäden
Eine frühe Diagnose von rheumatoider Arthritis ist entscheidend, um Gelenkschäden und langfristige Beeinträchtigungen zu vermeiden. Je früher die Erkrankung erkannt wird, desto besser können geeignete Behandlungsstrategien entwickelt werden. Eine rechtzeitige Intervention kann nicht nur die Symptome lindern, sondern auch das Fortschreiten der Krankheit verlangsamen. Durch eine frühzeitige Behandlung können Patienten eine bessere Lebensqualität erreichen und ihre Gelenkfunktion erhalten.
Die Folgen einer verzögerten Diagnose können gravierend sein. Unbehandelt kann rheumatoide Arthritis zu irreversiblen Gelenkschäden führen, die die Beweglichkeit stark einschränken. Außerdem steigt das Risiko für Begleiterkrankungen, die den Gesundheitszustand weiter verschlechtern können. Daher ist es von größter Bedeutung, die Symptome frühzeitig zu erkennen und schnell zu handeln, um die bestmöglichen Ergebnisse zu erzielen.
Bedeutung der zeitnahen Behandlung: Chancen für die Patienten
Die zeitnahe Behandlung nach der Diagnose eröffnet Patienten viele Chancen, ihre Lebensqualität zu verbessern. Durch die frühzeitige Intervention können Schmerzen und Entzündungen effektiv kontrolliert werden. Dies führt zu einer besseren Gelenkfunktion und ermöglicht es den Patienten, alltägliche Aktivitäten ohne Einschränkungen auszuführen. Zudem können moderne Therapien, wie Biologika und krankheitsmodifizierende Antirheumatika, die Krankheitsaktivität signifikant reduzieren und das Fortschreiten der Erkrankung aufhalten.
Langzeitfolgen vermeiden: Warum frühe Intervention entscheidend ist
Eine frühzeitige Intervention ist entscheidend, um langanhaltende Folgen der rheumatoiden Arthritis zu vermeiden. Unbehandelt kann die Erkrankung nicht nur zu Gelenkschäden führen, sondern auch das Risiko für Herz-Kreislauf-Erkrankungen, Osteoporose und andere schwerwiegende Gesundheitsprobleme erhöhen. Frühzeitige Behandlungen können helfen, diese Risiken zu minimieren und die allgemeine Gesundheit der Patienten zu schützen. Daher ist es wichtig, bei den ersten Anzeichen von rheumatoider Arthritis sofort einen Arzt aufzusuchen.
- Erhalt der Gelenkfunktion und Beweglichkeit
- Verbesserung der Lebensqualität durch Schmerzlinderung
- Reduzierung des Risikos für Begleiterkrankungen
- Verlangsamung des Fortschreitens der Erkrankung
- Optimierung der Behandlungsergebnisse durch moderne Therapien
Innovative Ansätze zur Unterstützung von Patienten mit Rheuma
Zusätzlich zu den traditionellen Diagnose- und Behandlungsansätzen gibt es innovative Technologien und Therapien, die Patienten mit rheumatoider Arthritis unterstützen können. Telemedizin und digitale Gesundheitsanwendungen ermöglichen es Patienten, ihre Symptome in Echtzeit zu überwachen und mit ihren Ärzten in Kontakt zu bleiben. Diese Technologien bieten eine Plattform zur Selbstverwaltung der Erkrankung, indem sie Patienten helfen, ihre Therapiefortschritte zu dokumentieren und Änderungen in ihrem Zustand sofort zu kommunizieren. Solche Ansätze fördern nicht nur die Patientenautonomie, sondern können auch zu schnelleren Anpassungen der Behandlungsstrategien führen.
Darüber hinaus zeigen Forschungen zu personalisierten Behandlungsansätzen, dass maßgeschneiderte Therapien, die auf den individuellen genetischen und biometrischen Daten der Patienten basieren, vielversprechende Ergebnisse liefern können. Diese personalisierten Ansätze könnten die Effektivität der Behandlung erhöhen und die Nebenwirkungen reduzieren, was zu einer besseren Lebensqualität führt. In Zukunft könnten solche Fortschritte in der Präzisionsmedizin eine entscheidende Rolle bei der Optimierung der Behandlung von rheumatoider Arthritis spielen.






